Loading...
Loading...
Loading...
Abrimos: Lun - Vie : 12:00 md - 6:30 pm | Sab 9:00 am - 12:00 md

info@clinicaartedental.com

(+507)-6941-1522

Casos Clínicos

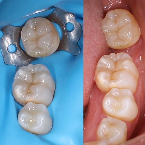
Resturaciones

.

Etapa 1
clinica dental en chiriqui
Etapa 2
clinica dental en chiriqui
Etapa 3
clinica dental en chiriqui
Etapa 4
Cambio de restauración, de amalgama a resina. Video gracias al @DrAbdomFora YouTube
Casos Clínicos

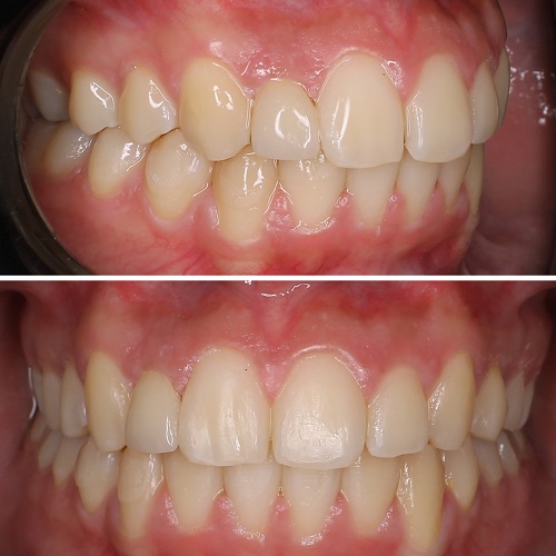
Ortodoncia

.

Etapa 1
clinica dental en chiriqui
Etapa 2
clinica dental en chiriqui
Etapa 3
Casos Clínicos

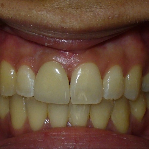
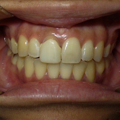
Diseño de Sonrisa

.

Antes | Despues

Caso #2

Etapa 1
clinica dental en chiriqui
Etapa 2
clinica dental en chiriqui
Etapa 3
Etapa 4
Casos Clínicos

Implante

.

Contactanos
Estamos ubicados
Avenida 3ra Oeste y Calle G Sur, a lado de Vanceguros, Ciudad de David
Correo
info@clinicadeartedental.com
Whatsapp
+507-6941-1522

© Clínica de Arte Dental. Derechos Reservados.

Diseñado por Pier Baker
6241-5717